Ngày 27/10/2025, Khoa Ngoại Thần Kinh - Bệnh viện Đa khoa Trà Vinh đã phẫu thuật thành công cho bệnh nhân nữ, 46 tuổi, bị u màng não vùng thái dương đỉnh trái có kích thước khoảng 15 x 15 cm - một trong những khối u màng não lớn hiếm gặp.
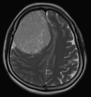
Bệnh nhân nhập viện với triệu chứng đau đầu dữ dội, nôn ói và yếu nửa người trái kéo dài khoảng 6 tháng. Hình ảnh MRI cho thấy khối u chèn ép nhiều lên các cấu trúc não của bán cầu phải. Sau khi được hội chẩn chuyên khoa và chuẩn bị kỹ lưỡng, ekip phẫu thuật đã tiến hành mở sọ lấy trọn khối u và gửi mẫu giải phẫu bệnh.
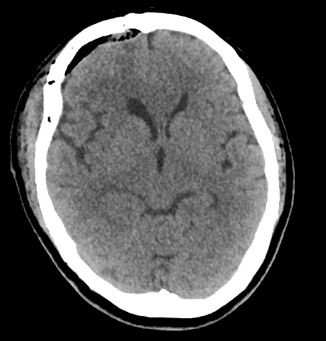
Ca phẫu thuật diễn ra thuận lợi. Sau mổ 4 giờ, bệnh nhân tỉnh táo, cử động tứ chi bình thường, hình ảnh CT kiểm tra cho thấy khối u đã được lấy hết hoàn toàn. Bệnh nhân hồi phục tốt và được xuất viện sau 5 ngày điều trị.
Thành công của ca phẫu thuật cho thấy năng lực ngày càng phát triển của đội ngũ bác sĩ Ngoại Thần Kinh Bệnh viện Đa khoa Trà Vinh, góp phần nâng cao chất lượng điều trị các bệnh lý phức tạp vùng sọ não ngay tại tuyến tỉnh.



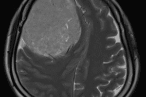
Hình ảnh MRI trước mổ (trái), CT sau mổ (giữa), khối u (phải)
Lời khuyên cho người dân
- Khi có triệu chứng đau đầu kéo dài, nôn ói, tê yếu tay chân hoặc thay đổi hành vi, thị lực, người dân nên đi khám chuyên khoa Thần kinh - Ngoại Thần kinh sớm để phát hiện bệnh kịp thời.
- Không tự ý dùng thuốc giảm đau hoặc trì hoãn khám vì có thể che lấp triệu chứng và làm bệnh tiến triển nặng.
- Việc chụp MRI não định kỳ ở người có triệu chứng nghi ngờ giúp phát hiện sớm các khối u não, đặc biệt là u màng não - bệnh lý có thể điều trị hiệu quả nếu được can thiệp sớm.


